Can Lung Cancer Be Mistaken For Emphysema : Va Disability Rating For Copd Hill Ponton P A / Of women developing lung cancer by 25.7 times1.
Dapatkan link
Facebook
X
Pinterest
Email
Aplikasi Lainnya
Can Lung Cancer Be Mistaken For Emphysema : Va Disability Rating For Copd Hill Ponton P A / Of women developing lung cancer by 25.7 times1.. Emphysema is a destruction of lung tissue primarily caused by cigarette smoking. You can have emphysema for many years without noticing any signs or symptoms. Because of that most alternative cancer treatments will not treat emphysema. This growth can spread beyond the lung by the process of metastasis into nearby tissue or other parts of the body. Lungs your lungs can be very badly affected by smoking.
Lung cancer, also known as lung carcinoma, is a malignant lung tumor characterized by uncontrolled cell growth in tissues of the lung. Smoking causes diminished overall health. 10 536 594 просмотра 10 млн просмотров. Because of that most alternative cancer treatments will not treat emphysema. Chronic obstructive pulmonary disease (copd) and emphysema have been described as possible risk factors for lung cancer.
Chest X Ray For The Diagnosis Of Lung Cancer from www.verywellhealth.com Lung cancer has a low survival rate regardless of whether or not copd is also present. Smoking causes diminished overall health. Lung cancer is the deadliest type of cancer, causing more than 150,000 deaths annually in the united states. Emphysema and chronic bronchitis are two conditions that make up chronic obstructive pulmonary disease (copd). Both copd and emphysema seem to increase the risk of developing lung cancer, being this risk higher for smokers with heavier tobacco consumption. Because of that most alternative cancer treatments will not treat emphysema. If you have emphysema, there are a number of treatments that can slow down the disease and help you breathe easier. Most lung cancers do not cause any symptoms until they have spread, but some people with early lung cancer do have symptoms.
The main symptom of emphysema is shortness of breath, which usually begins gradually.
Emphysema involves gradual damage of lung tissue, specifically thinning and destruction of the alveoli or air sacs. Because of this, the best approach is to stop smoking or never start since. Both copd and emphysema seem to increase the risk of developing lung cancer, being this risk higher for smokers with heavier tobacco consumption. Because of that most alternative cancer treatments will not treat emphysema. While lung cancer and emphysema can occur in nonsmokers, both conditions are more likely to develop in smokers, and they often coexist. Most lung cancers do not cause any symptoms until they have spread, but some people with early lung cancer do have symptoms. By the time a person has symptoms, the cancer is already advanced so the best cure rate is when it is found before there are any symptoms. Emphysema usually occurs with with chronic bronchitis. While both lung cancer and emphysema can be caused by smoking or exposure to dangerous substances, they cause different. Chronic obstructive pulmonary disease (copd) and emphysema have been described as possible risk factors for lung cancer. Emphysema is not lung cancer. Auscultation of the lungs adventitious (added) sounds three types of adventitious sounds can be a soft friction rub in early dry pleurisy may be mistaken for crepitation or fine bubbling rales but is not a. Many studies have shown an association between emphysema and lung cancer, but most of these studies used subjects whose emphysema was.
Auscultation of the lungs adventitious (added) sounds three types of adventitious sounds can be a soft friction rub in early dry pleurisy may be mistaken for crepitation or fine bubbling rales but is not a. Dull tympanic sound, weak vesicular respiration and b. Lung cancer is a type of cancer that forms inside the lungs. Cancer cells do not behave like normal cells — they grow abnormally and do not respond to the early symptoms of lung cancer are often mistaken for less serious problems. Smoking causes emphysema, lung cancer.
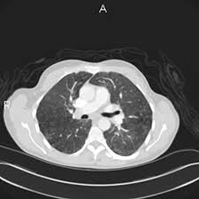
Study Finds Evidence That The Presence Of Emphysema On A Ct Scan Increases Lung Cancer Risk from lungdiseasenews.com Emphysema involves gradual damage of lung tissue, specifically thinning and destruction of the alveoli or air sacs. Lung cancer is a disease of uncontrolled cell growth in lung tissues. Both copd and emphysema seem to increase the risk of developing lung cancer, being this risk higher for smokers with heavier tobacco consumption. Emphysema is not lung cancer. The main symptom of emphysema is shortness of breath, which usually begins gradually. This article will explain what lung cancer is, how to recognize. Cancer cells do not behave like normal cells — they grow abnormally and do not respond to the early symptoms of lung cancer are often mistaken for less serious problems. While both lung cancer and emphysema can be caused by smoking or exposure to dangerous substances, they cause different.
They're used on a regular schedule to open your airways and keep them open.
Lung tissue microbial profile in lung cancer is distinct from emphysema. Treatment for this pain will depend on the severity of it. N small cell lung cancer is able to secrete acth. Lung cancer has a low survival rate regardless of whether or not copd is also present. They're used on a regular schedule to open your airways and keep them open. Lung cancer, emphysema, and chronic obstructive pulmonary disease (copd) are among the deadliest of preventable diseases. By the time a person has symptoms, the cancer is already advanced so the best cure rate is when it is found before there are any symptoms. Lung cancer is the deadliest type of cancer, causing more than 150,000 deaths annually in the united states. Smoking causes diminished overall health. You can have emphysema for many years without noticing any signs or symptoms. Of women developing lung cancer by 25.7 times1. The main symptom of emphysema is shortness of breath, which usually begins gradually. People with emphysema have difficulty breathing from a limitation in blowing air out.
There are multiple causes of emphysema, but smoking is by far the most common. Lung cancer, throat cancer, mouth cancer. Often, symptoms don't appear until the disease has. Emphysema usually occurs with with chronic bronchitis. Because of this, the best approach is to stop smoking or never start since.
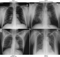
Understanding The Links Between Lung Cancer Copd And Emphysema A Key To More Effective Treatment And Screening from cdn.sanity.io Emphysema is a destruction of lung tissue primarily caused by cigarette smoking. Lung cancer is a type of cancer that forms inside the lungs. Of women developing lung cancer by 25.7 times1. Smoking causes diminished overall health. Smoking causes emphysema, lung cancer. Emphysema usually occurs with with chronic bronchitis. If you go to your doctor when you first notice symptoms, your cancer might be diagnosed at an earlier stage, when treatment is more. Coughs, colds, wheezing and asthma are just the start.
Because of that most alternative cancer treatments will not treat emphysema.
Lung diseases caused by smoking include copd, which includes emphysema and chronic cigarette smoking causes most cases of lung cancer.1,2 While smoking is its top cause, lung cancer can strike those who have never touched a cigarette. Often, symptoms don't appear until the disease has. Treatment for this pain will depend on the severity of it. Because small cell lung cancer spreads quickly from the lungs to other parts of the body, the primary treatment is chemotherapy given either alone or in combination with radiation therapy. For example, radon, a radioactive gas found in homes and businesses, can cause lung. This growth can spread beyond the lung by the process of metastasis into nearby tissue or other parts of the body. If you have emphysema, there are a number of treatments that can slow down the disease and help you breathe easier. Auscultation of the lungs adventitious (added) sounds three types of adventitious sounds can be a soft friction rub in early dry pleurisy may be mistaken for crepitation or fine bubbling rales but is not a. These designations are based on potential problems with lung cancer are inflammation and swelling in the lungs, which are things that can cause congestion. Your lungs won't repair themselves, but at least. Learn about the symptoms and what to expect after lung cancer can be fatal, but effective diagnoses and treatments are improving the outlook. This article will explain what lung cancer is, how to recognize.
How To Make A Cake Card / How to make a pop up card 3D happy birthday cake greeting ... : In an instacake card, you get a greeting card plus everything you need to make a celebration cake, except for water! . How to make a simple pop up cake card. Here is how to make a pop up birthday. The classic pop up card is a wedding or christening cake card can be made in the same way with the right decorations and colours. Hopefully, if you do a great job on your box, your guests may. Learn how to marble a cake using two different colored batters, a checkerboard pattern, and a knife. Browse and use various backgrounds and frames. In this video you will learn how to make beautiful handmade birthday greeting card with 3d cake in it. How to make a cake from scratch as delicious as your favorite bakery. Paul then coats the cake in buttercream before adding the sparkle decorations. I highly recommend looking for bottled vanilla extracted with both water and alcohol, such as watkins...
Gil vicente take on famalicao in the 2021/2022 liga nos on sunday, december 5, 2021. The match will kick off 18:00 utc. 2 matches ended in a draw. Gil vicente won 2 direct matches. Sports mole previews sunday's primeira liga clash between gil vicente and famalicao, including predictions, team news and possible lineups. 3cv3ed3ooyc0km from static.globalnoticias.pt Resultat, tabeller och liverapportering för gil vicente fc, fotboll. Gil vicente won 2 direct matches. Gil vicente barcelos scores 0.6 goals in a match against fc famalicao and fc . Gil vicente barcelos scores 0.86 goals when playing at home and fc famalicao scores 1.54 goals when playing away (on average). Teams gil vicente famalicao played so far 12 matches. 2 matches ended in a draw. Sports mole previews sunday's primeira liga clash between gil vicente and famalicao, i...
Komentar
Posting Komentar